Featured, Medical

Medicii au descoperit că un bărbat avea dureri de spate pentru că se născuse cu trei rinichi

Un brazilian de 38 de ani se plângea de dureri lombare, similare unei crize sciatice. Internat la spital, i s-a descoperit o hernie. Dar la o examinare mai atentă, medicii și-au dat seama și că bărbatul avea trei rinichi în loc de doi, un caz care se întâlnește foarte rar.

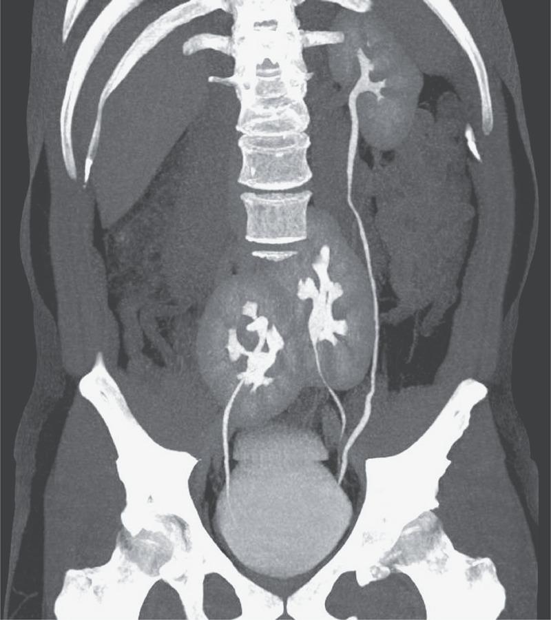
Bărbatul care suferea de puternice dureri în zona lombară a fost internat la spitalul Sao do Rim, din Sao Paolo, pentru a-i fi făcute investigații medicale suplimentare. Medicii voiau să-și dea seama dacă e vorba despre nervul sciatic sau despre o hernie de disc. Tomografia a relevat, într-adevăr, o hernie și o deplasare de vertebră, dar scanarea pacientului a permis și o altă descoperire, mult mai surprinzătoare: prezenta trei rinichii în loc de doi.

Cazul a fost relatat în prestigioasa publicație medicală New England Journal of Medicine. Bărbatul de 38 de ani nu avusese până atunci nicio problemă de sănătate, în orice caz nicio problemă renală. Potrivit revistei medicale, în lume nu există decât 100 de cazuri documentate de oameni cu mai mult de doi rinichi. În general, aceste cazuri trec neobservate, iar descoperirea lor se face aproape întotdeauna întâmplător, așa cum a fost și cazul acestui brazilian de 38 de ani.

Medicii au explicat că pacientul avea un rinichi normal în partea stângă și alți doi rinichii lipiți, situați în zona pelvisului. Deși lipiți, cei doi rinichi din pelvis aveau propriile lor uretere, care îi lega direct de vezică, prin urmare pacientul avea trei rinichi și trei uretere.


„N-am văzut niciodată așa ceva”, a declarat Renato Foresto, unul dintre autorii raportului publicat în The New England Journal of Medicine. Medicii au ajuns la concluzia că cei trei rinichii erau în bună stare și funcționau fără anomalii.

Astfel, pacientul va putea continua să trăiască cu trei rinichi. Cel de-al treilea rinichi este mai mic, dar nu dă niciun fel de simptome și nu va necesita o intervenție chirurghicală pentru a fi extirpat.